A case example highlights the function of the AVENTUS System for the removal of emboli and thrombi for the treatment of pulmonary embolism. With Jun Li, MD, FSCAI, FACC, RPVI
Pulmonary embolism (PE) occurs when blood clots block the pulmonary arteries, often originating from deep vein thrombosis (DVT). Despite advances in treatment, PE remains the third leading cause of cardiovascular death in the United States. Although modern devices have improved survival, the 30-day mortality rate can be as high as 5% and 8%.1,2 The AVENTUS Thrombectomy System (Inquis Medical, Inc.) is a fully integrated, next-generation mechanical thrombectomy device consisting of a 24-F catheter, aspiration syringe, and a blood filtration chamber (Figure 1). It is currently being evaluated in the United States as part of the AVENTUS Pivotal IDE (investigational device exemption) Study (NCT05907564) and has been cleared by the FDA for the removal of emboli and thrombi from blood vessels in the peripheral vasculature. The system is designed to improve ease of use and efficiency by integrating a dilator and navigation catheter with directional aspiration and streamlined blood return. These features aim to reduce the need for multiple wire and catheter exchanges during navigation and clot targeting, while enhancing the ergonomics of the blood filtering and return process. The AVENTUS system seeks to set a new standard with its streamlined approach to thrombus removal.
KEY FEATURES OF THE AVENTUS SYSTEM
Integrated design. The AVENTUS system eliminates the need for separate devices by incorporating dilator, navigation, and aspiration tools into one unit.
In-line aspiration syringe and blood filtration
chamber. The design of the aspiration syringe enables uninterrupted aspiration and blood filtration without requiring disconnection. This simplifies the procedure, making blood filtration more efficient while securely capturing clots.
Minimized device exchanges. This system is designed to reduce procedure time by obviating the need for multiple dilator, catheter, and wire exchanges, improving procedural efficiency.
CASE PRESENTATION
In a recent case study, a woman in her early 60s presented with worsening shortness of breath and a syncopal episode following 2 weeks of upper respiratory and gastrointestinal symptoms. The patient had a history of provoked DVT on two separate occasions.

Figure 1. An overview of the components for the AVENTUS Thrombectomy System, a fully integrated dilator, navigation, aspiration, and blood return system.

Figure 2. Baseline coronal (A) and axial (B) CT imaging. RV/LV ratio is demonstrated to be 2.39 (C).
Imaging revealed bilateral PE with a saddle component obstructing flow in the pulmonary arteries, with a right ventricular to left ventricular (RV/LV) ratio of 2.39, indicating severe strain on the heart (Figure 2). The patient was screened and subsequently enrolled in the AVENTUS IDE clinical study.
INTERVENTION WITH AVENTUS THROMBECTOMY
The AVENTUS Thrombectomy System was selected for thrombectomy of both the right and left pulmonary arteries. Starting with the right side, the catheter was introduced via the femoral vein and advanced over a Hi-Torque Supra Core (Abbott) guidewire using the system’s integrated 4-F guide catheter, allowing for efficient navigation through the dilated right ventricle to the right pulmonary artery (Figure 3). The integrated dilator tip and directional aspiration eliminated the need for any dilator or catheter exchange before the initial aspiration. Initial aspirations successfully removed the clot, and the catheter was advanced and rotated to target the truncus for additional aspirations, which removed most of the clot on the right side. Navigating to the left side was achieved by simply retracting the catheter and redirecting the integrated wire and guide catheter into the left pulmonary artery (Figure 4A). The catheter was then advanced into the left lower posterior lobe. Aspirations were performed to remove clot from the left side, and a final angiogram was taken (Figure 4B). After each aspiration, blood and clot collected in the aspiration syringe was transferred into the blood filtration chamber by simply depressing the syringe plunger. The one-way valve integrated into the syringe tip automatically diverts the flow into the blood filtration chamber for filtration and return to the patient. Immediate postprocedure improvements included a reduction in right atrial pressure from 20 to 15 mm Hg and a drop in pulmonary artery pressure from 60/24 to 30/20 mm Hg.
Additionally, cardiac output and cardiac index improved significantly from 4.5 to 5.9 and 1.9 to 2.5,

Figure 3. Intervention of the right pulmonary artery with AVENTUS system, with aspiration port pointing caudal (A). Selective angiogram of the right lower lobe showing resolution of large thrombotic burden (B) and perfusion or blush noted in the upper aspect of the right lung (C).

Figure 4. Advancement of the AVENTUS system to the left pulmonary artery (A), performed without a need for wire, navigation tool, or catheter exchange. Selective angiogram of the left lower lobe showing resolution of large thrombotic burden (B). Thrombus composition suggests element of subacute and acute thrombi (C).

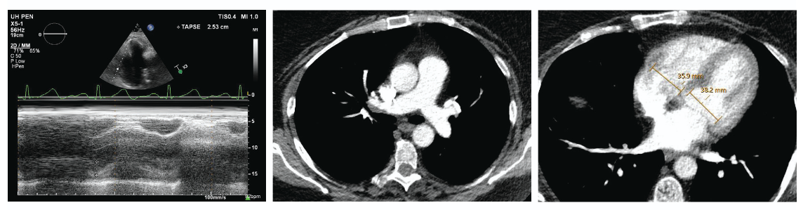
Figure 5. Subsequent echocardiogram showed preserved RV ejection, with normal tricuspid annular plane systolic excursion (TAPSE). Follow-up CT scan, performed within 48 hours for study protocol, showed resolution of thrombus and a normalized RV/LV ratio of < 1.
respectively. The patient’s RV/LV ratio normalized to 0.94, demonstrating rapid reversal of RV dilation and strain (Figure 5). These results highlight the AVENTUS system’s potential to efficiently reduce thrombus burden and improve hemodynamic parameters in patients with PE.
CLINICAL TRIALS AND FUTURE PROSPECTS
The AVENTUS Thrombectomy System is currently under evaluation in an IDE trial, with a target enrollment of 120 patients across 35 sites in the United States (NCT05907564). Early results, such as the case discussed here, are promising and indicate that the AVENTUS system may become a valuable tool for managing PE in the future.
CONCLUSION
The AVENTUS Thrombectomy System represents a next-generation technology, offering a simplified and efficient solution for removing thrombi in patients with life-threatening PE. As the IDE trial progresses, the endovascular community will be closely monitoring its outcomes to determine if AVENTUS can establish a new standard in PE management.
- Parikh M, Chahine NM, Hammad TA, et al. Predictors and potential advantages of PERT and advanced therapy use in acute pulmonary embolism. Catheter Cardiovasc Interv. 2021;97:1430- 1437. doi: 10.1002/ccd.29697
- Lacey MJ, Hammad TA, Parikh M, et al. Prospective experience of pulmonary embolism management and outcomes. J Invasive Cardiol. 2021;33:E173-E180.

Jun Li, MD, FSCAI, FACC, RPVI
Co-Director, Vascular Center and Pulmonary
Embolism Response Team
University Hospitals Harrington Heart & Vascular Institute
Assistant Professor of Medicine Case Western Reserve University School of Medicine Cleveland, Ohio
Disclosures: Consultant to Abbott Vascular, Boston Scientific Corporation, Inari Medical, and Medtronic; research grant from Abbott Vascular; National Principal Investigator for AVENTUS Trial.




